Смертность от туберкулёза снизилась на 75%. Об этом во Всемирный день борьбы с туберкулезом рассказала главный внештатный специалист фтизиатр Министерства здравоохранения Республики Крым Лилия Мамотенко.
Вместе с тем, по словам специалиста, эпидемическая ситуация по туберкулезу в республике остается напряжённой. Прежде всего, это связано с особенностями современного течения туберкулеза, характеризующегося острым прогрессирующим течением процесса, а также лекарственной устойчивостью возбудителя.
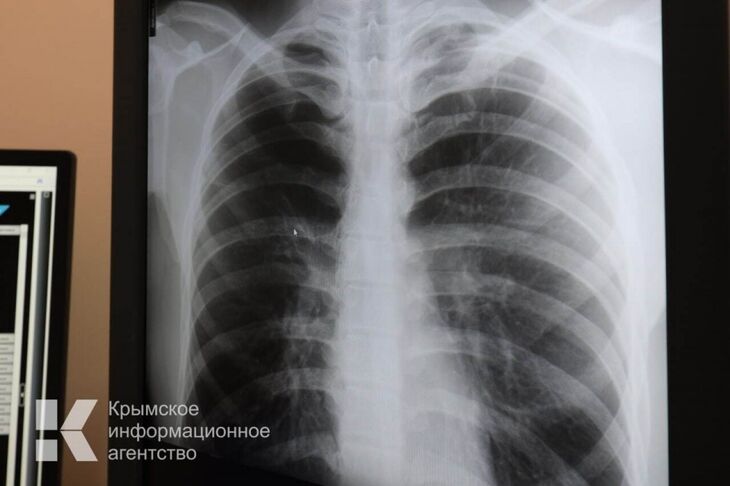
Единственным способом выявить болезнь на ранних этапах развития являются ежегодные профилактические осмотры. Обследование проводится как в медорганизациях, так и в ходе выездных профмероприятий – в этих целях районные и городские больницы оснащены передвижными цифровыми флюорографами.
«Основным симптомом туберкулеза является длительный кашель. Если у человека появился кашель, который длится более трёх недель, необходимо обратиться к терапевту. Врач направит на исследование мокроты и рентгенологическое обследование», - отметила главный крымский фтизиатр.
ЧИТАЙТЕ ТАКЖЕ: Крымчанам рассказали, как уберечь себя от туберкулеза
На базе ГБУЗ РК «Крымский республиканский клинический центр фтизиатрии и пульмонологии» функционирует бактериологическая лаборатория, которая оснащена современным диагностическим оборудованием. Комплекс для молекулярно-генетических исследований в режиме «реального времени» дает возможность выявить устойчивость к изониазиду, рифампицину и фторхинолонам (противотуберкулёзные препараты, которые используются в химиотерапии туберкулёза) в течение суток, что позволяет своевременно начать наиболее эффективное лечение согласно чувствительности микобактерий туберкулеза.
«Лечение больных туберкулезом – серьезная и сложная задача, требующая концентрации усилий медицинских работников, самого пациента и членов его семьи. В Республике Крым все пациенты обеспечены противотуберкулезными препаратами в соответствии с чувствительностью возбудителя», - резюмировала врач.
Читайте новости Крыма первыми в нашем Telegram-канале и даже когда не работает мобильный интернет в национальном мессенджере MAX.











































