Парковка в неположенных местах создает серьезные проблемы: затрудняет движение других автомобилей, блокирует проезд спецтехники и создает опасность для пешеходов. Особое внимание уделяется парковке на тротуарах, газонах, в зоне...
Бахчисарай Разное
Мы знаем, где находятся какие пещеры, чудеса. Надо уходить под землю и там, как ветераны, их легендарные прорывы операции «Поток». А у нас есть техника, которая быстро может под землёй прорыть тоннели, по которым пройдут войска? Сейчас большой...
Из них почти 10 млрд рублей выделено на образование.В эту сумму входит оплата труда педагогов, расходы образовательных учреждений, обеспечение бесплатным питанием учеников начальных классов и другие социальные нужды, сообщил Сергей Аксёнов.На что ещё...
На постоянной основе в Керчи проводятся проверки организации питания в образовательных учреждениях.Здоровье и благополучие детей — наш безусловный приоритет. Один из ключевых аспектов этой работы — контроль качества организации питания в...
Керчь «Работодатели готовы забирать обучающихся уже с третьего курса, хотя нам это не всегда нравится, ведь хочется завершить программу обучения», — отметил начальник студенческого конструкторского бюро КИПУ имени Февзи Якубова...
Психолог Анастасия Титкова подчёркивает необходимость пересмотра критериев и норм определения травли и конфликта, отмечая ключевую роль психологической характеристики ситуации.«Конфликт — это два-три человека, тогда как буллинг — уже...
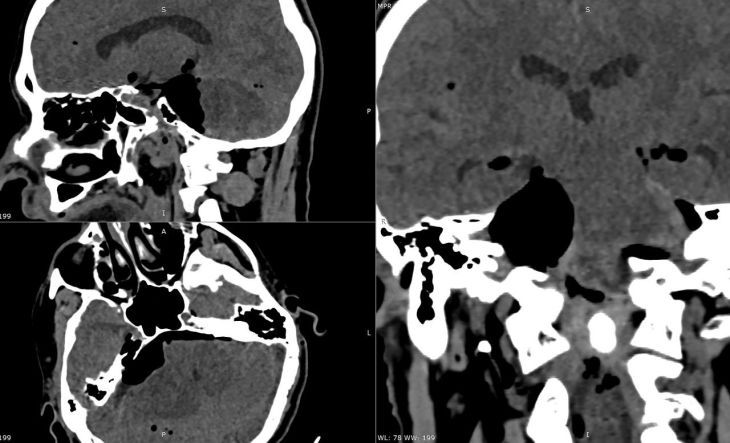
Она выросла в крошечном пространстве у основания черепа, где буквально «упакованы» жизненно важные структуры: нервы, отвечающие за мимику, зрение, глотание, дыхание, а также сам ствол мозга — центр управления жизнью.Опухоль размером с орех уже...
Глава администрации Александр Юрьев: max.ru/id237383764Администрация города Евпатории: max.ru/my_evpatoria
Евпатория У мошенников есть сезонные схемы — например, для обмана отпускников или тех, кто хочет подработать на каникулах.Самые распространенные схемы разбираем в карточках.#МининформКрыма | Мы в МАХ
Совместно с Главой муниципального образования Еленой Стельмах провёл заседание организационного комитета по подготовке к празднованию Дня Конституции Республики Крым и 82-й годовщины освобождения Первомайского района от немецко-фашистских захватчиков....
Первомайское Инспекцией по надзору за техническим состоянием самоходных машин и других видов техники Республики Крым (далее – Инспекция) подготовлен и размещен в Единой информационной системе в сфере закупок отчет об объеме закупок у субъектов малого...
«От имени всех жителей Мурманской области и от себя лично выражаю глубокие соболезнования семьям погибших при крушении самолета Ан-26 в Крыму. Эта трагедия отозвалась в наших сердцах особой болью. Среди погибших - наши воины-североморцы, люди чести...
Аналогичные издания о Евпатории и Судаке уже доступны в электронном формате. В путеводителях собрана информация об экскурсиях и услугах, которые бойцам СВО и членам их семей предоставляют бесплатно или со скидкой. С полным перечнем можно...
Все находившиеся на борту 29 человек - 23 пассажира и 6 членов экипажа погибли.По предварительной информации Минобороны, внешнего воздействия на самолёт не было. Основная версия авиакатастрофы - техническая неисправность, вследствие которой борт...
По состоянию на 14:00 Со стороны Тамани очереди перед пунктом ручного досмотра нет. В очереди на ручной досмотр со стороны Керчи находится 21 транспортное средство. Оперштаб | Республика Крым в Мax// Оперштаб | Республика Крым
На Украине будут заочно судить российского артиста Николая Баскова. СБУ сообщила, что собрала «доказательную базу» совместно с генпрокуратурой.Обвиняемый указан как «Мыкола Басков». Ему вменяется выдача сертификатов российским военным за...
Наша предложка работает и ждёт видосы, фото и огненные инсайды. Всё прочитаем, проверим, а о самом крутом напишем на канале. Бот тут: @mashnavolnebot
По информации прокуратуры Крыма, мужчина заключил два госконтракта на строительство спортивных школ в 2021 году. Зная, что работы выполнены не в полном объеме, он представил акты, содержащие недостоверные сведения.«На основании указанных документов на...
В апреле здесь можно будет насладиться творчеством крымских деятелей искусств, воздать дань уважения Родине и узнать больше о богатой истории нашего древнего города.Смотрите нашу подборку и обязательно найдите время, чтобы провести время с интересом и...
Керчь У мошенников есть сезонные схемы например, для обмана отпускников или тех, кто хочет подработать на каникулах.Разбираем самые распространённые и объясняем, как они работают.
Джанкой 





































